Invisalign® in Essex
Clear Braces & Aligners

Teeth Straightening in Essex? You’re in safe hands. To receive a FREE Invisalign® 3D scan and Consultation, contact us, and we’ll be in touch to book you in.

  • Free Consultation

  • From just £2,695

  • Interest-free finance available

  • Complimentary teeth whitening

We are an Invisalign Diamond Provider. Book your free consulation today.

Invisalign Patient and Dentist at Dental Smiles in Essex

Invisalign® braces in Essex

It’s never too late to get your teeth aligned. If you would like to correct the positioning of your teeth without having fixed braces, Invisalign® could be the right method for you.

Whether it’s for a smile that’s affected by gaps or bite problems, or teeth that need small adjustments, our dental experts have the technique, tools and expertise to create a more consistent appearance – and may be able to improve your oral health at the same time.

If you wonder what your teeth could look like straightened, visit us for a FREE 3D Scan of your teeth, then you can see how good your teeth could look with Invisalign braces.

For more information on Invisalign® Clear Braces or for a FREE consultation, get in touch via our contact form, or call 01279 879526 to start your clear braces journey in Essex. Prices from £2695.

Will Invisalign® work for me?

  • Gappy Teeth

  • Crossbite

  • Pre-prosthetic Orthodontics

  • Teenage

Invisalign can be used to treat a wide variety of types of teeth. The following dental conditions can be successfully treated with Invisalign®:

  • Overjet

  • Overbite

  • Crowded Teeth

  • Underbite

Our Patients Before & After Invisalign Treatment

View our Before & Afters below to see how different your smile could look with Invisalign®.

Gappy Teeth

Overjet teeth before Invisalign in Essex
Overjet gone after Invisalign in Essex

Gaps were closed with Invisalign® as well as improving the bite. A fixed retainer was used to keep the new position.

Crossbite 

crossbite in Essex
crossbite fixed with Invisalign®

This patient’s lower tooth cross bite was corrected with Invisalign® and a dental extraction. The results speak for themselves!

Pre-prosthetic Orthodontics

Pre-prosthetic Orthodontics in Essex
After pre-prosthetic Orthodontics in Essex

Widely spaced, gappy teeth are not a problem for the technology of Invisalign®. Treatment with Invisalign® braces for just 9 months created this perfect spacing for the addition of porcelain veneers.

Teenage

Teenager needs braces in Essex
Teenager's teeth after Invisalign results

Invisalign® is suitable for teenagers too. Crowded and sticking out teeth have been resolved with clear Invisalign® aligners.

Overjet

Gappy teeth in Essex, before Invisalign
Invisalign treated gappy teeth in Essex

Overjet, commonly described as sticking out teeth corrected with Invisalign® braces. A fixed retainer has been used to maintain the new bite.

Overbite

Overbite teeth before Invisalign in Essex
Overbite after Invisalign® in Colchester

Invisalign® can also correct a deep bite. We were able to find a solution to straighten this smile using surgery-free Invisalign clear braces.

Crowded Teeth

Crowded teeth after Invisalign in Essex
Crowded teeth after Invisalign in Essex

Invisalign® has corrected crowding for this patient. In this case, the teeth have been whitened and a new crown added on the front tooth.

Underbite

Underbite before
Underbite before Invisalign® treatment

Invisalign® was used on this case to correct an underbite. The teeth were whitened too.

How does Invisalign® work?

Invisalign® is a custom made set of clear braces that you can easily remove for meals, brushing and social occasions.

The aligners are custom made using 3D printing and scanning technology. They are changed every one to two weeks as they incrementally move your teeth into your ideal position.

Invisalign see through braces in aligners case in Essex

4 Step Process

Dental Smiles Takeley Inside the Practice

Step 1: Consultation

Your first visit is to really understand what you want to achieve and check that your mouth is healthy . We can take photos of your teeth and use our state of the art iTero 3d scanner to take an accurate record of the current position of your teeth and show you what your teeth could look like.

Treatment at Dental Smiles in Essex

Step 2: Clincheck

We send your digital 3D scan to Invisalign who create a video simulation of how your teeth will look as they gradually straighten to give you a preview of your final result.

Invisalign Clincheck at Dental Smiles in Essex

Step 3: Treatment

Once we have finalised your treatment plan and reviewed your Clincheck we will fit your new aligners and show you how to care for your teeth whilst wearing them. You will change into your next aligner every one to two weeks and will start to notice your teeth straightening (usually after the first 8 weeks).

Invisalign braces at Dental Smiles in Essex

Step 4: Completion

When you finish your Invisalign treatment you will need to wear retainers to keep your teeth in their new position. Often we finish off with a course of teeth whitening to complete your new smile. Teeth whitening is FREE with Invisalign treatment at our Essex Dental Smiles practices. 

Why Choose Us?

We are an Invisalign® Diamond provider.

Dental Smiles in Essex is an Invisalign Diamond Provider

Not all Invisalign® providers are the same.

We are very experienced having treated over 1000 cases making us in the top 1% of providers in Europe. We will have encountered a case like yours before. Experience matters when moving your teeth.

Alongside this we are experts in other aspects of cosmetic dentistry; teeth whitening, composite bonding, veneers crowns and tooth replacement including dental implants. We can consider all of these factors to integrate a full dental plan with your Invisalign® plan.

Our Essex Dental Practices offer on-site parking and are conveniently located for patients to reach with sites in Takeley (near Stansted airport) Chelmsford and Colchester.

With interest-free finance available to spread the cost of Invisalign®, you can afford to invest in yourself. To learn more about this life-changing orthodontic treatment, book a FREE no-obligation 3D scan and consultation to see how Invisalign® can transform your smile and your self-confidence.

Invisalign 15 million smiles icon

Does it work?

Invisalign® has 15 million straighter smiles  worldwide and counting.¹

Imagine what Invisalign® aligners could do for your smile. 
Get started on your smile journey today!

1 – As of March 31, 2023, data on file at Align Technology.

Frequently asked questions

Can you eat or drink with Invisalign®?

We would advise that your Invisalign® tooth aligners are removed when you are eating, drinking, brushing and flossing to maintain their hygienic condition and so encourage your daily use of this appliance.

Can I eat or drink anything with Invisalign braces

Can I straighten my own teeth?

Please do not try any home remedies. There is a serious risk of losing your teeth. Dentists and orthodontists are trained to establish how the teeth can move safely and by how far, making you a beautiful smile limiting the risks.

Can I straighten my own teeth?

Does Invisalign® work?

More than 8 million dental patients worldwide have been treated with Invisalign®.

Below you can see a selection of before and after images and interview videos with our patients who have successfully completed their Invisalign® treatment.

Does Invisalign clear braces work?

How do you clean Invisalign®?

Brush and floss your natural teeth as normal in addition to keeping a dedicated soft-bristled brush and toothpaste on hand to clean your Invisalign® aligners with luke-warm water on a twice-daily basis as part of your dental care routine.

How do I clean Invisalign?

How long does Invisalign® take to work?

Usually Invisalign® treatment takes between three months and two years. Your dentist will be able to offer a more exact timeframe for your individual case during your initial FREE consultation.

Private Dentistry

Are Invisalign® actually braces?

Technically, Invisalign® aren’t “invisible braces” but invisible aligners. Invisalign aligners are different from traditional braces in that they can be taken out to eat, though they do still need to be worn 20-22 hours a day.

Invisalign clear braces in Essex icon

Can I afford Invisalign®?

Invisalign® is one of our private dental treatments. You can pay as you go for treatment, prices start at £2695. Alternatively you could apply for an interest free loan through our Finance partner to break the cost down into regular monthly payments.

Denplan budgeting

Does Invisalign® hurt?

Some slight discomfort is usual when changing into your new aligner – this shows your teeth are moving toward their new position. If you have concerns regarding discomfort levels, please let your dentist here in Essex know.

Invisalign clear braces in Essex icon for if it hurts

What do our patients think?

Invisalign® Essex Patient Case: Video

Fixed braces vs Invisalign® braces

Can you see my Invisalign® braces?

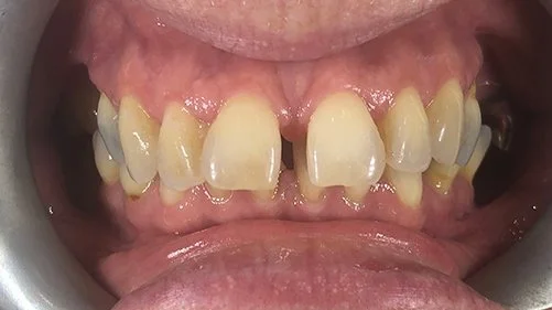
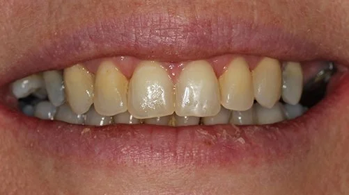
Recent Essex Invisalign® Patient Story

Invisalign Patient Case Study at Dental Smiles in Essex

We treated this patient with Invisalign® clear aligners, teeth whitening and composite bonding.

View our case study to reveal the teeth prior to treatment.

Patient Reviews

“Fantastic experience at Dental Smiles with Dr Andrew Sharpe. I started my Invisalign® journey in September and I am amazed at how incredible my teeth look. I also had teeth whitening and composite bonding. I always felt at ease at each appointment and all information given was clear and concise. All staff were welcoming and lovely too. I would highly recommend Dr Andrew Sharpe and Dental Smiles Chelmsford.”

Danielle Button

“I have just finished my Invisalign® treatment and I am very impressed with both the service I received, and the results achieved. Andrew mapped out the journey clearly recommending other treatments to make my teeth more even and whiter. Treatments were booked in advance and were always on time”

Seonaidh O'Neill

“I am so thrilled with my results after my Invisalign® treatment! I feel confident and happy that I can smile without feeling self conscious. Daniel was amazing at every step on the journey and gave brilliant advice. He talked me through every step and the flexibility of having evening appointments was great for me. The main reason for the Invisalign® was to feel confident on my wedding day and I certainly did thanks to all of Daniel’s help and knowledge. Would highly recommend to anyone wanting to start their Invisalign® journey.”

Lauren Plows

Contact Us

Book today for a FREE consultation and 3D Scan

Fill in the form for a free consultation and 3D scan in Takeley, Colchester or Chelmsford. A £20 deposit is required to book (refundable on attendance). We'll use the information you provide to contact you regarding your enquiry. You can read our Privacy Policy here.

Please fill in fields marked*.